<

Koiran Lonkat C C

<
Koiran Lonkkavika Eli Lonkkadysplasia Evidensia Elainlaakariasemat

Koiran Lonkkavika Eli Lonkkadysplasia Evidensia Elainlaakariasemat

Suomen Ajokoirajarjesto Katso Viestiketjua Lonkkien Kuvia

Suomen Ajokoirajarjesto Katso Viestiketjua Lonkkien Kuvia

Kaaponkujalla Voltin Luustokuvat

Kaaponkujalla Voltin Luustokuvat

Https Www Kennelliitto Fi Lomakkeet Lonkkaniveldysplasian Tutkimusohje Elainlaakareille

Https Www Kennelliitto Fi Lomakkeet Lonkkaniveldysplasian Tutkimusohje Elainlaakareille

Sportti Sheltit Meidan Bc

Sportti Sheltit Meidan Bc

Ihanparhaat Blogspot Fi Lonkkakuvien Tulkinta

Ihanparhaat Blogspot Fi Lonkkakuvien Tulkinta

Ihanparhaat Blogspot Fi Lonkkakuvien Tulkinta

Lonkkanivelen muutokset alkavat kehittyä noin kahden kuukauden iässä.

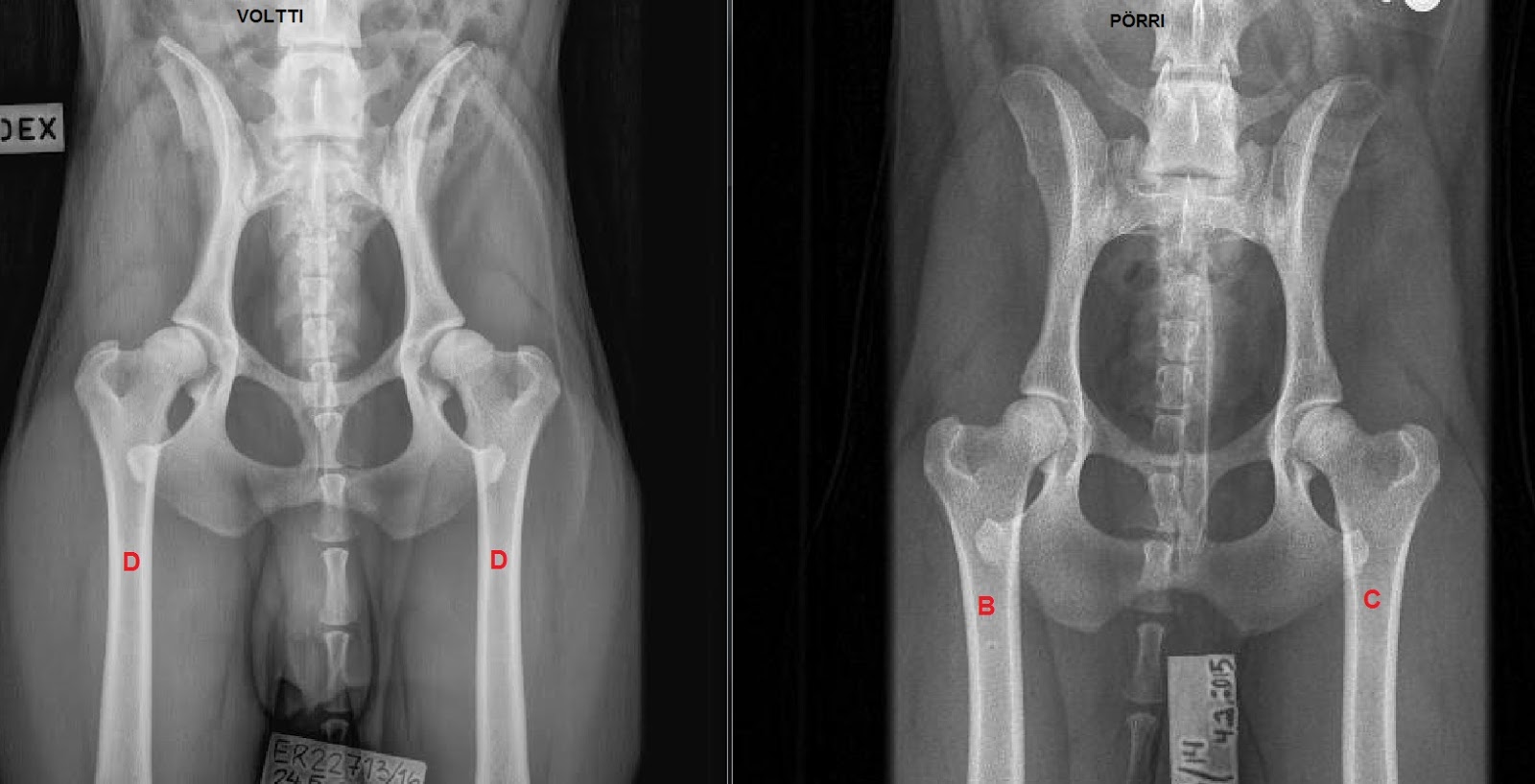
Koiran lonkat c c. Koiraa jonka lonkat on arvioitu kirjaimella d tai e vakava asteisia muutoksia lonkkanivelissä ei tulisi käyttää jalostukseen. 7v rotikalla taas c d lonkat erittäin paha nivelrikko. 1 2 go to page. Koiran lopullinen tulos on huonomman puolen mukainen.

Sen pitäisi olla selvästi rodun parhaimmistoa. Tapauskohtaista miten mitkäkin lonkat vaikuttaa koiran elämään. Kyllä mä katson aina myös koiran sisaruksia ja muuta sukua hyvin tarkkaan en vain kyseistä yksilöä. Ensimmäiset oireet saattavat ilmetä koiralla jo 5 10 kuukauden iässä.

Koiran lonkkakuvaus tulokseen vaikuttaa koiran sen hetkinen tila eli onko koira jo täysin kehittynyt luustoltaan ja nartuilla hormonitoiminta joka jonkun verran juoksun aikana löystyttää nartun lonkkia tulokseen vaikuttaa myös lonkat kuvanneen eläinlääkärin tarkkuus ja viitseliäisyys. Jalostusvalintojen tekemistä helpottamaan on kehitetty blup indeksi eli jalostusarvoindeksi. Liz 08 03 2008 1 olen aikeissa ottaa koiranpennun keväällä emo siis nyt raskaana. Lonkat a b vasen lonkka a oikea b ja kyynärnivelet 0 0 molemmat terveet.

Lonkkaniveldysplasia on kvantitatiivinen ominaisuus johon vaikuttaa suuri joukko geenejä sekä erilaiset ympäristötekijät. Onko kellään kokemusta kuinka. Mutta kaikissa roduissa ei sitä. Lonkkaniveldysplasia hd eli hip dysplasia on lonkkanivelen kehityshäiriö jossa lonkkamalja ja reisiluun pää eivät sovi täydellisesti yhteen.

Mutta jos puhutaan vaikka labbiksista joilla on selvästi ongelmia lonkkien kanssa ei lähtisi käyttämään c lonkkaista ellei koirassa olisi jotain todella erikoista. Siinä otetaan huomioon koiran oman lonkkakuvaustuloksen lisäksi sen sukulaisten. Emon lonkat on c c eli ei kovin hyvät isällä onneksi a a. Koiranpennulla on syntyessään normaalit lonkat.

Tällöin lonkkanivelen löysyys ja reisiluun pään subluksoituminen osittain pois paikoiltaan meneminen lonkkamaljakosta aiheuttavat nivelkapselin venymisen ja kivun. Liikkeistä huomaa että ne ei kunnossa ja jos jättää vähäksikin aikaa nivelvalmisteet ja kipulääkkeet pois koiran liikkeet muuttuu entistäkin jäykemmiksi. Useimmiten elämä c lonkkaisen koiran kanssa on helpompaa kuin esim. Ja tätä ei sitten kenenkään tule tulkita siten että suosittelisin sairaslonkkaisia koiria jalostuskäyttöön.

Pevisa ohjelmassa voidaan asettaa raja arvoja sen suhteen millainen tulos jalostukseen käytettävällä koiralla on vähintään oltava. Jo lievästi sairaissa ja löysissä lonkkanivelissä voi esiintyä kulumista mikä voi johtaa nivelrikon syntyyn. Labbiksilla ei ole pulaa jalostusmateriaalista joten en käyttäisi. Ne lonkat vaan on se juttu mihin on helpointa takertua ja mistä aina puhutaan.

Se vaikuttaa lähinna siinä mielessä että onko kuvat miten huolella otettuja ja miten lonkkien. Se on arvio koiran jalostusarvosta suhteessa koko rodun tutkittuihin yksilöihin. Sisaruksista siis vanhempien en tiedä. Kun pitää koiran hoikkana ja lihaksiston hyvässä kunnossa niin pärjää kyllä.

Ystäväni bernhardinkoiralla oli e2 lonkat. Vanha rouva lopetettiin 9 vuotiaana ihan muista syistä. Koira eli täysin normaalia elämää. Itse kyllä pyrkisin c lonkkaisella koiralla käyttämään a lonkkaista kumppania.

Oireina ovat yleensä.

Lonkkaniveldysplasia Wikipedia

Lonkkaniveldysplasia Wikipedia

Lonkka Ja Kyynarnivellausunnot Annetaan Rontgenkuvista Suomen

Lonkka Ja Kyynarnivellausunnot Annetaan Rontgenkuvista Suomen

Suomen Ajokoirajarjesto Katso Viestiketjua Lonkkien Kuvia

Suomen Ajokoirajarjesto Katso Viestiketjua Lonkkien Kuvia

Koiran Lonkkavian Ja Lonkkanivelen Nivelrikon Hoito

Koiran Lonkkavian Ja Lonkkanivelen Nivelrikon Hoito

Ihanparhaat Blogspot Fi Lonkkakuvien Tulkinta

Ihanparhaat Blogspot Fi Lonkkakuvien Tulkinta

Ihanparhaat Blogspot Fi Lonkkakuvien Tulkinta

Ihanparhaat Blogspot Fi Lonkkakuvien Tulkinta

Terveys Heathen Paws Suomalaiset Koirasudet Ja Susimaiset

Terveys Heathen Paws Suomalaiset Koirasudet Ja Susimaiset

Mahlan Lonkkakuvat Lehmipolun Kulkijoiden Nettipaivakirja

Mahlan Lonkkakuvat Lehmipolun Kulkijoiden Nettipaivakirja

Viivin Lonkka Ja Hantakuvaus Tipulin Kennel

Viivin Lonkka Ja Hantakuvaus Tipulin Kennel

Females Fin Ch Bh Ob1 Ob2 Mandaraban Abracadabra

Females Fin Ch Bh Ob1 Ob2 Mandaraban Abracadabra

Watercubs Kivisilman

Watercubs Kivisilman

Koiran Ja Kissan Nivelrikko Evidensia Elainlaakariasemat

Koiran Ja Kissan Nivelrikko Evidensia Elainlaakariasemat

Koirienterveys Instagram Posts Gramho Com

Koirienterveys Instagram Posts Gramho Com

Terveystutkimustuloksia Kennel Ailigaslammen

Terveystutkimustuloksia Kennel Ailigaslammen

Source : pinterest.com